Ultrasound Imaging
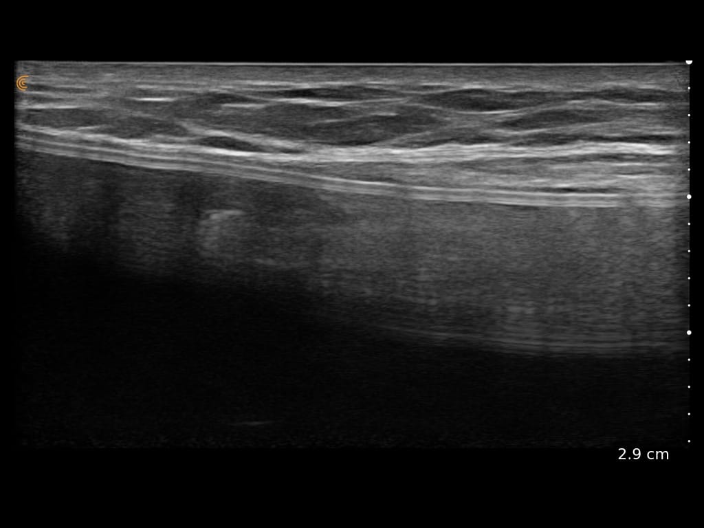
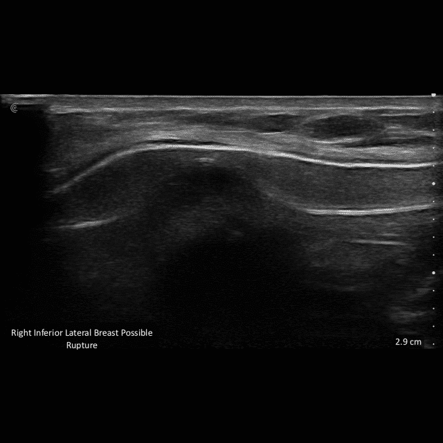
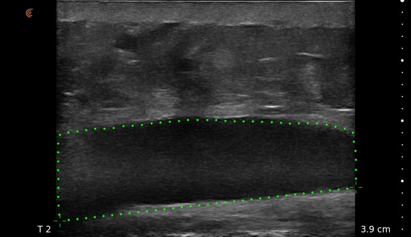
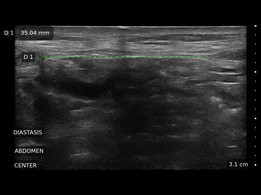
Ultrasound Imaging is very useful clinical tool to assess patient’s anatomy. In the past, ultrasound imaging was done primarily by radiologists, but is now being employed by many clinical specialties. Ultrasound use by Plastic Surgeons, however, is relatively new. Dr. Wigod has found ultrasound imaging to be a particularly valuable addition to physical exam and provides this service to his patients. Ultrasound imaging is especially useful to assess breast implants for problems such as ruptures, capsular contracture, and fluid collections. Dr. Wigod also uses ultrasound to examine other body areas and to help guide nerve blocks. Surgeon performed ultrasound does not replace radiologist performed imaging and is not for cancer screening.




For more examples of ultrasound images, go to the Breast Ultrasound Images Gallery.